STEAM laboratorija
- Paskelbė : Andrius Stankevičius
- Paskelbta: 2025-11-27
- Kategorija: Projektinė veikla
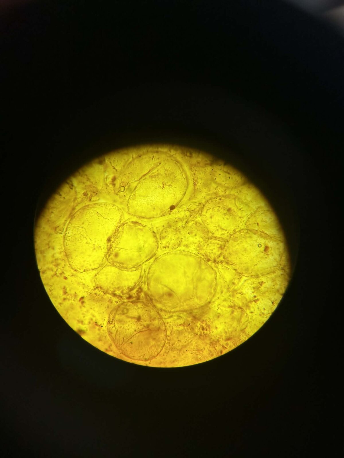
Lapkričio 19–27 d. 5 klasės mokinių gamtos mokslų pamokos virto tikra STEAM laboratorija (mokytoja Greta Chilčenkaitė). Mokiniai ne tik susipažino su augaline ląstele, jos sandara ir funkcijomis, bet ir patys tapo tyrėjais: paruošė svogūno ir pomidoro mėginius bei stebėjo ląsteles mikroskopu, atrado smulkiausias detales, kurias įprastai galima pamatyti tik knygose. Laboratorinio darbo rezultatai buvo tokie įspūdingi, kad pasigrožėti atėjo ir kitų klasių mokiniai.
Be praktinių užduočių mokiniai pasitelkė kūrybiškumą ir sukonstravo ląstelių modelius iš įvairių priemonių, demonstravusių jų supratimą ir fantaziją. Gražiausi darbai dabar puošia mokyklos 2 aukšto foje parodą „Ląstelės pasaulis: mokslo ir meno susitikimas“, kur mokslo žinios susitinka su menu.
Džiaugiamės mūsų smalsiais, kruopščiais ir kūrybingais mokiniais ,kurie įrodė, kad mokslas gali būti nuostabiai įtraukiantis, kūrybiškas ir tikrai nemiegantis!
-
Naujų miesto autobusų pristatymas
- Paskelbta: 2025-11-26
- Kategorija: Projektinė veikla
Mokolų progimnazijos 5 klasės mokiniai dalyvavo Marijampolės savivaldybės rengin... -
„Nematomas mikropasaulis“ ir „Pasimatymas su dirbtiniu inte...
- Paskelbta: 2025-11-24
- Kategorija: Projektinė veikla
Lapkričio 21 d. 4 klasės mokiniai lankėsi Marijampolės STEAM centre, kur dalyvav... -
Virtuali paroda „Švieskit, žibintai!“
- Paskelbta: 2025-11-23
- Kategorija: Projektinė veikla
2025 m. spalio 20 d. – lapkričio 14 d. Mokolų progimnazija organizavo respubliki... -
Marjampolės kyokushin karate klube ,,Tornadas“
- Paskelbta: 2025-11-21
- Kategorija: Projektinė veikla
Trečios klasės mokiniai lankėsi Marijampolės kyokushin karate klube "Tornadas“.... -
Konferencija “Emocinė gerovė jauno žmogaus akimis”
- Paskelbta: 2025-11-20
- Kategorija: Projektinė veikla
📚 Progimnazijos psichologė Edita ir socialinė pedagogė Indrė, lapkričio 20 dieną... -
Edukacija ,,Kauno pilies istorijos mozaika“
- Paskelbta: 2025-11-20
- Kategorija: Projektinė veikla
Trečios klasė mokiniai lankydamiesi muziejuje apžiūrėjo įvairius senovinius daik... -
Edukacinė kelionė į Šiaulius
- Paskelbta: 2025-11-19
- Kategorija: Projektinė veikla
Lapkričio 18 d., antradienį, specialioji pedagogė Sandra Mozūraitė vyko į edukac... -
Marijampolės regioniniame STEAM atviros prieigos centre
- Paskelbta: 2025-11-19
- Kategorija: Projektinė veikla
Trečios klasė mokiniai lankėsi Marijampolės regioniniame STEAM atviros prieigos... -
Mokinių konferencija ,,Žmogus, kuris mane įkvepia
- Paskelbta: 2025-11-19
- Kategorija: Projektinė veikla
Lapkričio 19 dieną ,,Saulės" pradinėje mokykloje vyko respublikinė pradinių klas...
